Straight teeth, made simple with Invisalign.
Flexible payment plans available — including 0% finance.
Free consultations. Limited time only.
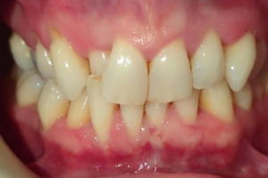
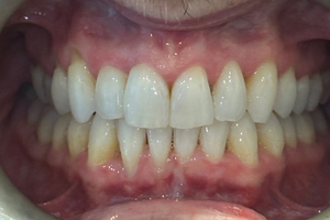
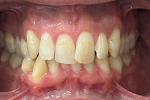
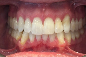
We’re recognised for completing over 500 Invisalign® cases
Free consultations — limited time only.
Start with a no-obligation chat. We’ll discuss your goals and advise the best route to a straighter smile.
Visit our practice for a detailed check-up and digital scan. This helps us design a fully tailored plan to give you predictable, long-lasting results.
Once your treatment begins, we’ll guide you through every stage, ensuring your comfort and confidence as your new smile takes shape.
Our Invisalign treatments are delivered by skilled clinicians who combine advanced technology with personalised care to achieve exceptional results.
At Highfield Dental & Facial Clinic we believe in minimally-invasive, health-focused dentistry. We don’t do quick fixes — we create long-term, sustainable results that protect natural teeth for life.
Dr Krupesh is an experienced Invisalign provider with a passion for aesthetic and minimally invasive dentistry, helping patients achieve natural, confident smiles through clear aligner treatment and cosmetic enhancements.
Many of our patients tell us this is the best thing they’ve ever done for themselves — not just for their smile, but for their confidence and quality of life.
Single arch treatment — includes all necessary aligners and professional teeth whitening. (Assessment required)
Book Free ConsultDouble arch treatment — includes all necessary aligners and professional teeth whitening. (Assessment required)
Book Free Consult2 months ago
Having not been for a dental check up in a few years I was nervous about my appointment. I was instantly put at ease by the friendly and welcoming receptionists. Dr Slave… Read more
7 months ago
Just finished my hygienist appointment and I wanted to take the time to compliment all the staff. Eweline on reception was friendly, chatty and made everyone who entered … Read more
4 months ago
I recently went for my hygienist and annual dental check up. Jo was brilliant explained everything she was doing and checking in if I needed a break. Very calming and rea… Read more
3 months ago
Had a hygienist appointment today. They know I’m nervous in dentists and as always from reception through the treatment , all the staff put you at ease. The treatment i… Read more
Complete the form below and a member of our friendly team will be in touch to discuss the next steps.

At Highfield Dental & Facial Clinic, a trusted dentist in Southampton, we provide competitive pricing on Invisalign in Southampton to help you achieve a straighter smile. Our Invisalign treatment plans are designed to offer a seamless teeth-straightening experience, including custom aligners and teeth whitening.
Single Arch Treatment – £3,695
Includes all necessary aligners and professional teeth whitening.
Double Arch Treatment – £4,195
Includes all necessary aligners and professional teeth whitening.
To learn more about our Invisalign options or to schedule a consultation at Highfield Dental & Facial Clinic, contact our team today.
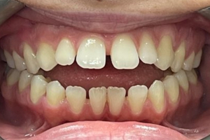
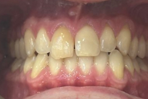
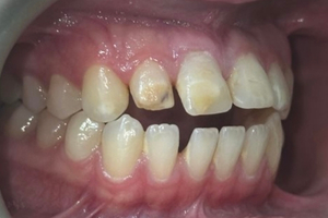
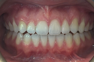
Invisalign gradually straightens your teeth using a series of custom-made, clear aligners. Each aligner applies gentle pressure to shift teeth into their desired position, improving alignment, bite, and overall smile aesthetics without the need for traditional metal braces.
At Highfield Dental & Facial Clinic, we advise removing your Invisalign aligners before eating or drinking anything other than water. This helps prevent damage to the aligners and keeps them clear and free from stains. After eating, it is recommended to brush your teeth before reinserting the aligners to maintain proper oral hygiene and avoid trapping food particles. If brushing is not possible, rinsing your mouth and the aligners with water can serve as a temporary solution. Our team at Highfield Dental & Facial Clinic is available to provide personalised guidance to ensure optimal results from your Invisalign treatment.
Yes, Invisalign can address an overbite in many cases. At Highfield Dental & Facial Clinic, we provide Invisalign in Southampton, utilising clear aligner technology to gradually move teeth into their proper position, enhancing both function and appearance. Our team, led by an experienced dentist in Southampton, will evaluate your bite and develop a customised Invisalign treatment plan tailored to correct your overbite with precision. If you’re exploring Invisalign for an overbite, we invite you to schedule a consultation at Highfield Dental & Facial Clinic to discuss your options for achieving a healthier smile.
Invisalign aligners may cause some initial discomfort as your teeth begin to move. However, this is typically mild and temporary. Most patients find Invisalign to be more comfortable than traditional braces since there are no brackets or wires.
Invisalign is suitable for most adults and teenagers with mild to moderate alignment concerns, such as crooked teeth, gaps, or bite issues. During your consultation, we’ll confirm whether Invisalign is right for you and design a treatment plan tailored to your needs.
Yes, Invisalign is suitable for many age groups, from teenagers to adults. At Highfield Dental and Facial Clinic, our experienced team assesses your oral health and goals to determine if Invisalign is the right choice. Many patients find it a discreet and flexible treatment option that fits their lifestyle.
You should remove your aligners before eating or drinking anything other than water. This prevents staining or damage to the aligners and helps maintain excellent oral hygiene. Once you’ve finished, simply brush your teeth before putting your aligners back in.
No, you should remove your Invisalign aligners when eating or drinking anything other than water. This prevents staining and damage, and ensures the aligners maintain their shape for effective tooth movement.
Clean your Invisalign aligners daily using a soft toothbrush and clear, unscented liquid soap or Invisalign cleaning crystals. Avoid toothpaste, which can scratch the plastic. Rinse them thoroughly before reinserting to maintain hygiene and prevent bacteria buildup.
Invisalign is an advanced orthodontic treatment that uses a series of clear, removable aligners to gently move your teeth into the correct position. Each aligner is custom-made and worn for around two weeks before switching to the next set. Over time, this gradually straightens your smile without the need for metal brackets or wires.
The duration of Invisalign treatment varies based on individual needs but typically ranges from 12 weeks to 18 months. The exact timeline will be determined by your dentist based on the complexity of your case and how well you comply with wearing your aligners.
If you lose or damage an aligner, contact Highfield Dental and Facial Clinic as soon as possible. Our team will advise whether you should move to the next aligner in the series or order a replacement. Quick action helps keep your treatment plan on track and prevents delays in achieving your desired results.
Invisalign aligners are virtually invisible, making them an ideal choice for adults and teens who want a discreet way to straighten their teeth. They’re also removable, allowing you to eat, drink, brush, and floss with ease – something you can’t do with fixed braces.
We offer two main Invisalign treatment options:
Optional enhancements, such as composite bonding, can be added after Invisalign to perfect your smile.
Invisalign aligners should be worn for about 22 hours a day to achieve the best results. They should only be removed for eating, drinking anything other than water, and during your oral hygiene routine.
Booking your Invisalign consultation is simple. Contact our friendly team at Highfield Dental & Facial Clinic to arrange your free appointment and begin your journey towards a confident, beautifully aligned smile.
Your free initial consultation at Highfield Dental & Facial Clinic is a no-obligation appointment where we assess your teeth, discuss your smile goals, and explain the Invisalign process. You’ll also have the opportunity to see a 3D simulation of how your teeth could move during treatment.
At our Southampton clinic, Invisalign treatment starts from £80.13 per month (11.9% APR). We offer flexible finance options with no deposit required, making it easier to achieve the smile you’ve always wanted.
Yes, Invisalign can often be combined with other treatments, such as teeth whitening or restorative dentistry. At Highfield Dental and Facial Clinic, we create tailored treatment plans to ensure Invisalign works seamlessly alongside any other care you may need, helping you achieve both functional and aesthetic improvements efficiently.
We use an advanced Dental Monitoring app that allows you to upload photos of your smile from home. Our team reviews your progress remotely and advises when to move on to the next aligner or if an in-person review is required. This saves time and ensures your treatment stays on track.
*A loan of £3,695.00 over 60 months would cost you £80.13 per month at a representative 11.9% APR.
The total amount of credit would be £3,695.00, to which we would add £1,112.80 (11.9% p.a.). This means the total cost of your treatment after 60 months would be £4,807.80.
If you were to take out the loan today, you’d pay the first £80.14 upfront, and then 59 payments of £80.13 each month